Top.Mail.Ru
info@dia-m.ru 8 (800) 234-05-08
+7 (495) 745-05-08
Ваш регион Москва?

Встречаем нового производителя антител: Servicebio!

09.08.2024

Многие знают этого производителя как производителя пробирок, автоматических пипеток и наконечников к ним, а также реагентов и расходных материалов для блоттинга и гистологии.

Но помимо этих замечательных товаров, компания Servicebio, производит отличные антитела для решения различных научных задач: иммуноблоттинг, ИГХ, ИФА, проточная цитометрия.

Servicebio имеет профессиональную команду для исследований, разработки и производства широкого спектра антител! Компания специализируется как на производстве поликлональных антител, так и на рекомбинантных и моноклональных.

Качество антител Servicebio подтверждено тщательным контролем качества на производстве, и благодаря этому в 2024 году антитела Servicebio были удостоены награды CiteAb 2024.

Качество антител Servicebio подтверждено тщательным контролем качества на производстве, и благодаря этому в 2024 году антитела Servicebio были удостоены награды CiteAb 2024.
Servicebio были удостоены награды CiteAb 2024

Преимущества антител Servicebio


Заказать антитела Servicebio Вы можете у нас на сайте, перейдя по ссылке >>.

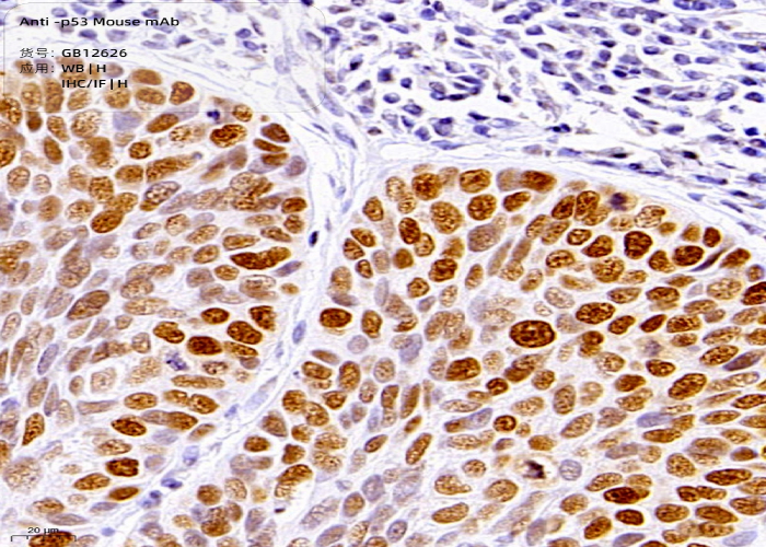
Антитела Servicebio: результаты пользователей

См. также:

Антитела первичные неконъюгированные
Антитела первичные конъюгированные
Антитела вторичные
Антитела для цитометрии
Наборы для конъюгации антител
Панели антител
Растворы для разведения антител



Ниже вы можете задать вопрос или оставить запрос в свободной форме:

Раскрыть анкету для отправки запроса

Ваш заказ будет обработан
в ближайшее время.
Мы пришлем уведомление, как только все будет готово. Спасибо!